




Loading reagent Cell-IN Basic 0.5
Cell-IN is a loading reagent that ensures effective and cellular uptake of different molecules ranging from biological agents to synthetic nanoparticles, f.e. proteins, nucleic acids, polymers and nanoparticles, into mammalian cells.
Cell-IN Basic 0.5 contains 58mg of loading reagent based on a polymer formulation manufactured at the Institute of Physical Chemistry Polish Academy of Sciences. The recommended amount of medium for dissolving Cell-IN Basic 0.5 is 0.5 mL.
Usage of Cell-IN Basic 0,5
Cell-IN Basic 0.5 reagent is sufficient to perform up to 40 loadings in 8-well plates or 125 loadings in 96-well plates.
Storage conditions of Cell-IN loading reagent
Cell-IN should be stored at 20°C and is stable for at least one year when stored appropriately. However, dissolved Cell-IN in a serum-free medium has to be stored at 4°C and is stable no longer than one month.
Quantitative analysis of biochemical processes in living cells at a single-molecule level
Aneta Karpińska, Marta Pilz, Joanna Buczkowska, Paweł J. Żuk, Karolina Kucharska, Gaweł Magiera, Karina Kwapiszewska and Robert Hołyst
Abstract
Quantitative description of biochemical processes inside living cells and at single-molecule levels remains a challenge at the forefront of modern instrumentation and spectroscopy. This paper demonstrates such single-cell, single-molecule analyses performed to study the mechanism of action of olaparib – an up-to-date, FDA-approved drug for germline-BRCA mutated metastatic breast cancer. We characterized complexes formed with PARPi-FL – fluorescent analog of olaparib in vitro and in cancer cells using the advanced fluorescent-based method: Fluorescence Correlation Spectroscopy (FCS) combined with a length-scale dependent cytoplasmic/nucleoplasmic viscosity model. We determined in vitro olaparib–PARP1 equilibrium constant (6.06 × 108 mol L−1). In the cell nucleus, we distinguished three states of olaparib: freely diffusing drug (24%), olaparib–PARP1 complex (50%), and olaparib–PARP1–RNA complex (26%). We show olaparib accumulation in 3D spheroids, where intracellular concentration is twofold higher than in 2D cells. Moreover, olaparib concentration was tenfold higher (506 nmol L−1vs. 57 nmol L−1) in cervical cancer (BRCA1 high abundance) than in breast cancer cells (BRCA1 low abundance) but with a lower toxic effect. Thus we confirmed that the amount of BRCA1 protein in the cells is a better predictor of the therapeutic effect of olaparib than its penetration into cancer tissue. Our single-molecule and single-cell approach give a new perspective of drug action in living cells. FCS provides a detailed in vivo insight, valuable in drug development and targeting.
Aneta Karpińska, Alicja Zgorzelska, Karina Kwapiszewska, Robert Hołyst
Abstract:
Hypothesis
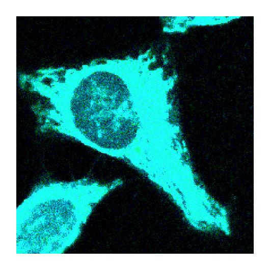
Most experimental procedures applied in modern biology involve cargo delivering into cells. One of the ways to cargo introduction is osmotic-mediated intracellular vesicle swelling. However, its widespread use was hindered due to cargo size (<10 nm) and cell-type-related restrictions. We addressed the issue of the composition of colloidal loading solution to enhance the efficiency of cellular delivery.
Experiments
We examined the effectiveness of colloidal loading solutions of varied compositions, including various types and sizes of polymers building osmotic pressure. We used confocal imaging coupled with fluorescence correlation spectroscopy to evaluate the introduction of polymers, proteins, nanoparticles, and DNA plasmids (cargos of sizes 1 – 175 nm) to cells representing eight cell lines: cancer, normal, epithelial, and mesenchymal ones.
Findings
We found that cellular delivery effectiveness strongly correlates with the size and concentration of osmotic pressure building polymers and not with the high value of the osmotic pressure itself. We show that polymer solutions at the entangled regime of concentrations enhance the delivery of large biomacromolecules even of size 200 nm (DNA plasmids) into cells, including MDAMB-231 cells – so far resistant to the osmotic procedure. We show that the colloid loading medium based on entangled polymer chains is a versatile cargo delivery tool for molecular biology.